Люминиры были разработаны около тридцати лет назад зуботехнической компанией Caratine (США). Они представляют собой отдельную категорию тончайших виниров, изготавливаемых по запатентованной технологии.
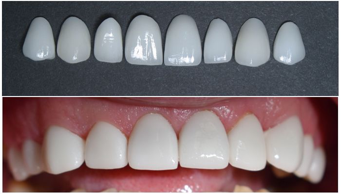
Люминиры - тонкие зубные фарфоровые микропротезы, закрепленные на передней поверхности зубов, сохраняя их здоровье и обеспечивая эталонную улыбку. В эстетической стоматологии люминиры пользуются популярностью, они тщательно повторяют форму зуба, скрывая неровности на эмали. Они накладываются таким образом, чтобы закрыть режущую часть зуба. Характерная особенность люминиров – минимальная толщина, которая не превышает 0,3 мм, что в два раза тоньше виниров. По толщине люминиры сравнимы с контактными линзами для глаз. Их главное преимущество в том, что нужно меньше шлифовать эмаль перед протезированием. Главный недостаток в том, что они довольно хрупкие, поэтому имеют ограниченное применение по сравнению с винирами.

Область применения
При помощи ультратонких керамических микропротезов удается решить круг проблем. Люминиры используются:
- для художественной реставрации проблемных зон и повышения их эстетичности;
- для маскирования сколов и сильно выраженного желтого цвета зубов, который не поддается отбеливанию;
- для выравнивания зубного ряда;
- для скрытия щербинки (диастемы);
- для реставрации возрастных изменений зубного ряда или недоразвитости.
Преимущества и недостатки люминиров
|
+ |
- |
|
+ отсутствие сложной обточки зубов, накладки фиксируются на зуб и не требуют обработки тканей, перед установкой необходима только профессиональная обточка; + устойчивость к едким пищевым красителям, что позволяет долго люминирам сохранять цвет и не темнеть; + быстрая скорость установки, достаточно несколько визитов к врачу; + возможность замены, люминиры не являются временными съемными накладками, но есть возможность снятия без вреда для здоровья; + существует большая цветовая палитра, поэтому технология позволяет подобрать любой оттенок, который приближен к естественному цвету эмали; + при соблюдении рекомендаций по уходу, срок службы может составлять от 20 лет и более; + благодаря минимальной толщине накладки, люминиры не вызывают дискомфорта и не нарушают дикцию; + гипоаллергенность, люминиры полностью безопасны, так как изготавливаются из экологически чистых материалов; + клеевой состав содержит фтор, что укрепляет эмаль.
|
- невозможность устранения значительных зубных дефектов;
- люминиры не справятся с контрастными пятнами, так как люминиры имеют разную степень прозрачности, установка на слишком пигментированные зубы может выглядеть неестественно;
- риск развития кариеса сохраняется.
|
Противопоказания к люминирам:
- запущенный кариес;
- бруксизм;
- неудовлетворительная гигиена полости рта;
- воспалительные заболевания парадонта;
- патологический прикус;
- патология сердца и суставов;
- занятия экстремальными видами спорта.
Технология изготовления:
Основным этапом при изготовлении люминиров является снятие и создание слепка с зубов пациента. От качества этой работы и точности слепка напрямую зависит качество и долговечность изделия. После создания слепка, зубной техник изготавливает необходимое количество накладок, придает им нужную форму и размер. Оттенок люминиров подбирается совместно с пациентом и определяется исходным цветом зубов. При изготовлении микропротезов используются только экологически чистые, гипоаллергенные материалы, биологически совместимые с организмом человека. В связи с этим не возникает осложнений в виде аллергии или отторжения материала после реставрации.
Надежное сцепление накладок с зубной эмалью обеспечивается за счет пористой текстуры внутренней поверхности. Композитный состав проникает глубоко в поры изделия, что способствует идеальному сцеплению материала с зубом. Этот состав готовится по специальной технологии с добавлением компонентов и микрочастиц, благотворно влияющих на здоровье зубной эмали. Это обеспечивает не только надежную фиксацию накладки, но и защиту зуба от многих заболеваний.
Люминиры нельзя отбелить, поэтому с цветом нужно определиться заранее, в процессе использования они могут немного темнеть, что легко убрать при помощи профессиональной чистки зубов. Но отбелить химическими препаратами не получится.

По прочности и эксплуатационным качествам люминиры не имеют достойных аналогов. По сравнению с более устаревшими винирами, современные адгезивные накладки работают по иному принципу. Благодаря прочным материалам изготовления и особой технологии установки, люминиры могут сохранить первоначальные вид и свойства в течение двадцати и более лет. Регулярное наблюдение у стоматолога для своевременного лечения стоматологических заболеваний и профессиональная гигиена аппаратными методиками не реже двух раз в год являются важными правилами при носке люминиров. Долговечность накладок зависит от квалификации специалистов и соблюдения правил ухода. Чтобы сохранить результат надолго, не стоит злоупотреблять твердой пищей в виде сухариков, семечек, орехов, а также сладостей (ириски, карамель, так как накладки очень хрупкие и тонкие.
Также после установки люминиров необходима регулярная гигиена: чистка зубной щеткой или пастой с минимальным содержанием абразивных частиц 2 раза в день, использование ирригатора для очищения межзубных промежутков в труднодоступных местах.