Возможности современной зуботехнической лаборатории в настоящее время шагнули далеко за рамки исключительно ортопедического лечения – с каждым годом становится все более востребован такой раздел клинической стоматологии, как ортодонтия. Врач-ортодонт безусловно не может обойтись без обращения к профессиональному зубному технику, ведь план ортодонтического лечения предполагает использование различных аппаратов, изготавливаемых на базе зуботехнической лаборатории.
Ортодонтические аппараты предназначены для исправления положения зубных рядов и отдельно стоящих зубов, корректировки прикуса, изменения соотношения челюстей, исправления различных зубочелюстных аномалий и закрепления результатов ортодонтического лечения. Ортодонтическое лечение желательно начинать в детском возрасте, однако современная медицина способна помочь и взрослым пациентам!
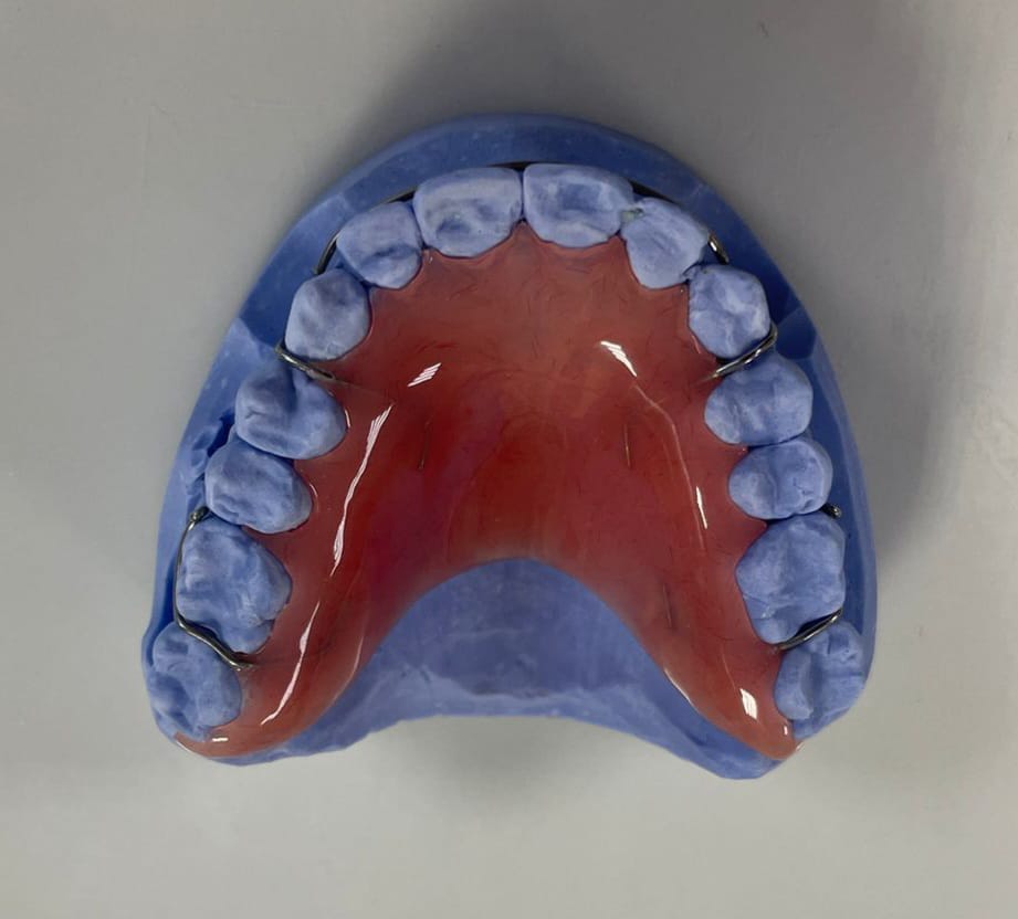
С точки зрения лабораторного технологического процесса – изготовление именно ортодонтических конструкций – это узкоспециализированное направление в работе зубного техника. По этой причине не каждая зуботехническая лаборатория оказывает такие услуги. Лаборатория ПРОГРЕСС готова изготовить различные виды ортодонтических конструкций – съемные ретейнеры, аппараты с расширяющим винтом, язычные дуги, повышающие протезы и другие конструкции, предусмотренные планом ортодонтического лечения.






















