CAD/CAM отдел нашей лаборатории без преувеличения можно назвать «Отделом высоких технологий» - все самое современное оборудование, представленное на рынке зуботехнических услуг, собрано в одном месте. Наше производственное оснащение позволяет нам выполнять самые высокотехнологичные работы – сканирование и фрезеровку различных конструкций из диоксида циркония, изготовление временных конструкций из блоков РРМА, производство индивидуальных абатментов различных систем имплантатов, печать 3D-моделей при работе с внутри ротовым сканером, хирургических шаблонов для точного позиционирования имплантатов.
При производстве конструкций из диоксида циркония мы используем блоки различных оттенков и с различными коэффициентами светопроницаемости, что позволяет нам удовлетворить самые различные потребности пациентов – от прочных коронок анатомической формы на жевательную группу зубов, до высоко эстетических фронтальных работ «Premium» - класса.
Конструкции из РММА – биосовместимого полиметилакрилата, можно назвать «временными» несколько условно –срок службы и эстетические свойства зуботехнических изделий, изготовленных из этого материала, значительно увеличен по сравнению с временными конструкциями, изготовленными традиционным способом. Изделия из РММА в современной стоматологической практике получили широкое распространение благодаря прочности, продолжительности эксплуатации (в среднем до 6 месяцев), цветовой гамме – промышленность выпускает блоки различных расцветок, соответствующих самым распространенным палитрам. Естественно, изделия из РММА не являются альтернативой постоянным конструкциям из металлокерамики и диоксида циркония, но их использование позволяет врачу-ортопеду совместно с пациентом более рационально распланировать план ортопедического лечения, дать необходимую нагрузку на установленные имплантаты, если она по различным клиническим причинам временно невозможна с использованием постоянной конструкции, более надежно защитить культи обработанных зубов от различных повреждений на время изготовления постоянной конструкции и т.д.
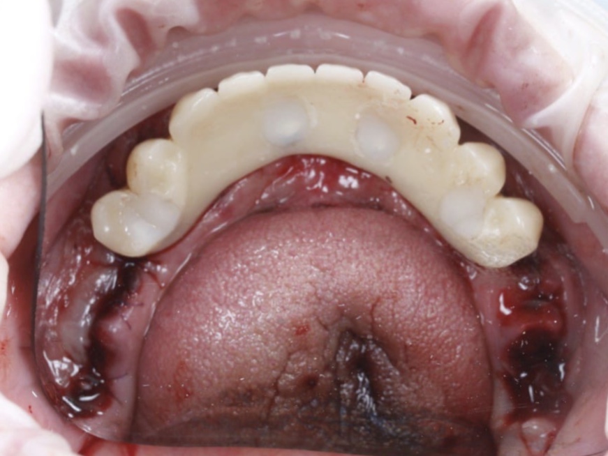
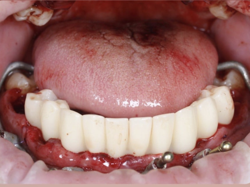
В мире современной стоматологии все большую популярность набирают конструкции с опорой на имплантаты – за последние 10 – 15 лет значительно увеличился охват и вариативность этого направления ортопедического лечения. Существенным фактором при изготовлении конструкций с опорой на имплантаты являются сроки поставки комплектующих, в некоторых случаях и клиника, и лаборатория попадают в зависимость от скорости работы поставщиков – некоторые компании готовы доставить товар в этот же день, тогда как иных приходится ждать около недели, а то и больше. Эти факторы существенно увеличивают сроки изготовления конструкций, тормозят график ортопедического приема в клинике и производят негативное впечатление на пациента. К тому же, стоимость заводских комплектующих различных систем порой недешева и ложится дополнительным финансовым бременем на заказчика. В таких ситуациях оптимальным выбором будет изготовление индивидуальных абатментов, которые, помимо учета индивидуальных особенностей каждого конкретного клинического случая, идеального прилегания к десне и надежной фиксации имеют преимущество в сроках изготовления и стоимости, которая зачастую сопоставима со стоимостью заводских комплектующих, а при использовании некоторых систем имплантатов – существенно дешевле таковых. Наша лаборатория располагает возможностью изготовить индивидуальные абатменты из титана и диоксида циркония различных систем имплантатов быстро и качественно, и избавить вас от лишнего взаимодействия с поставщиками!
3D печать, как процесс, еще недавно казавшийся дорогим и практически малоприменимым, буквально за несколько лет занял свою нишу в области ортопедической стоматологии, и его функционал с каждым годом продолжает расширяться. В настоящее время наиболее востребованными зуботехническими операциями являются печать 3D моделей различного назначения – как для использования в качестве рабочих и вспомогательных моделей для изготовления зуботехнических конструкций, так и хирургических шаблонов для установки имплантатов. Оснащение нашей лаборатории позволяет создавать 3D модели из различных типов жидкотекучих полимеров как по файлам, переданным непосредственно с врачебного приема при работе с внутри ротовым сканером, так и доставленным в лабораторию на различных типах носителей. Стоимость 3D моделей, конечно, несколько выше по сравнению с изготовлением гипсовых моделей традиционным способом, однако, использование 3D принтера позволяет нивелировать ошибки, связанные с человеческим фактором – неточность при снятии слепка, изготовлении моделей, снимает вопросы, связанные с качеством слепочных и гипсовых материалов. 3D модели более точны и обладают преимуществом в прочности, за счет чего, особенно при изготовлении коронок и небольших по протяженности мостов, позволяют безболезненно исключить этап примерки каркасов из ортопедического плана.















